Getting your teeth checked regularly is the most important step in getting a happy healthy smile. Contact one of our team today to book your next check up with G&S Dental

With the advancements in materials its now possible to close the gaps in your teeth with something called composite bonding.
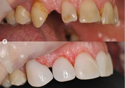
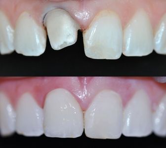
At G&S Dental we offer all types of crowns (caps) and only use the best laboratories in the UK, we encourage our patients to go metal-free wherever possible, because of this we don't charge any extra for metal-free crowns

Regularly seeing a hygienist is great for keeping your mouth fresh and healthy. We would recommend seeing a hygienist 1 to 3 times a year, which greatly improves your oral health, but it also gets rid of those nasty stains

If you want a whiter smile, teeth whitening is a great option, its very easy and once you've got your trays you can do it at home!!

Multiple reports have stated one of the best ways of feeling younger is to have all silver (amalgam) fillings replaced with white ones. We at G&S only use the best white filling materials and offer a feel younger package, of tooth whitening and amalgam replacement

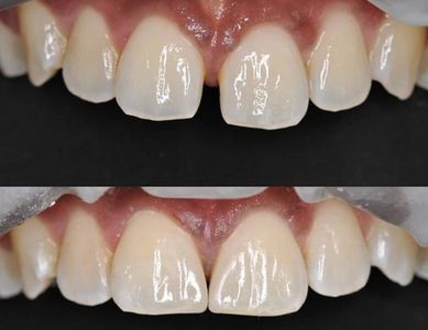
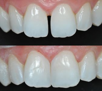
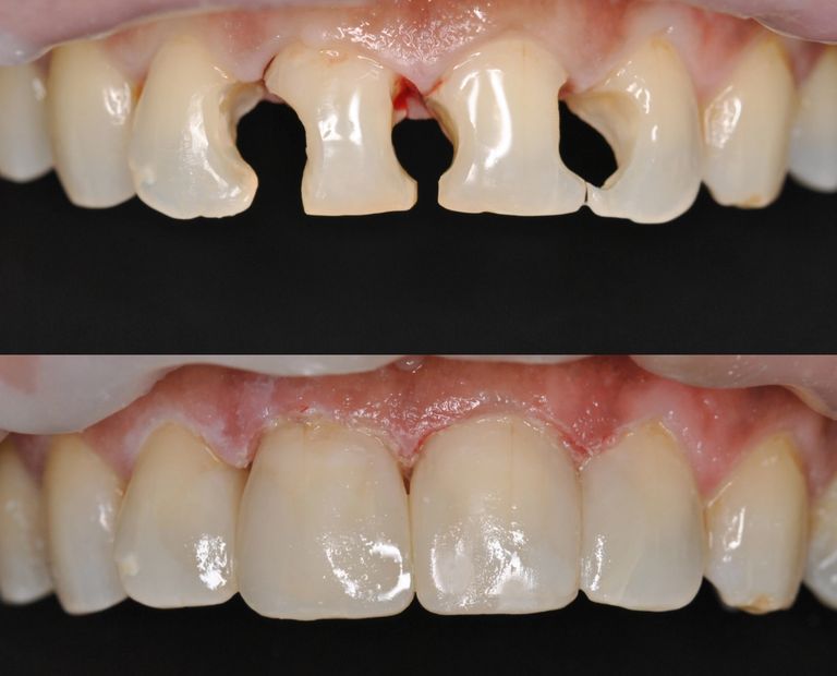
Gaps in-between teeth can come in a variety of shapes and sizes, the good news is that no matter how big or how small they can usually be easily closed. These cases have been closed with composite bonding

Composite bonding is when composite or white filling material is skilfully bonded by the dentist onto the tooth. IT is shaped and craved until its the perfect size, and can greatly improve the look of your smile

Even gaps as wide as a tooth can be treated, however when they are above a certain size we may need to place instant veneers, rather than composite bonding
Composite Bonding on the 2 front teeth - Completed by Jamie Nelson

Dental crowns are a means of protecting and also improving the appearance of teeth. They form a porcelain or metal shell that fits around the tooth. We at G&S Dental try to use non-metal containing crowns as much as possible

There are 3 main types of dental crown:

When all-ceramic or zirconia crowns are used its very hard to tell the difference between a crown and a tooth. Especially as they don't develop the black lines that metal based crowns tend to get with time. Crowns also last a very long time, we at G&S Dental guarantee our crowns for 3 years
At G&S Dental we have a dedicated team of dental therapists and hygienists and their sole task is to take good care of you. They have dedicated themselves to ensuring your dental oral health is tip top
They use top notch techniques to ensure your mouth will be as clean as possible in the most gentle way.
Everybody is welcome!! Rules introduced in 2013 allow us to offer dental hygiene services without the need to see a dentist for a check up. The first appointment will be 30 minutes and thereafter according to your individual needs.
Not only is it important to see the hygienist when you want a fresh clean mouth, its also very important to have optimal oral health alongside any cosmetic work, Instant Veneers or orthodontics, it can often be the first step towards your new smile.
To maintain the optimum level of health in your mouth and ensure that all our treatments look good for years and years we utilise our 9 point oral health check every six months.
The Nine Point Check


White fillings are made of Composite, the same material used in Composite Bonding . They are excellent dental restorations, as they look great, but they can also bond to the tooth, unlike Amalgam or silver fillings. Getting your amalgams changed to white fillings is a great way to improve your overall look, and has been shown to make you look and feel younger. We offer a "Feel Younger Package" when you're getting all your amalgams changed you get £50 off any whitening treatments

White fillings can be used in both the front and the back teeth, if your dentist has a real artistic flare they can mimic the appearance of nature and really blend your white fillings so that no-one will know they've been filled

All of our cosmetic dentists are highly trained, and have attended many post graduate training courses including the world renowned Vanini Masterclass of Composite Restorations in Italy.

Teeth whitening is a process by which the physical colour of your teeth are changed, it works by using custom fit trays (a bit like a thin sports mouthguard) and whitening gel. The trays hold the whitening gel in contact with your teeth, the gel then gradually whitens your teeth. At G&S we only use the best, so we use Boutique Whitening products.
If you wear your trays correctly over the full whitening course you can expect to achieve a difference of about 2 to 3 shades, as demonstrated in the picture.

In 2012 the law changed on who can whiten your teeth, only dentists can prescribe whitening gels up to 6% peroxide (the active ingredient in whitening gels), beauty therapists, online stores and other retailers can only give you up 0.1% peroxide, which isn't very strong and usually doesn't work very well. If you're interested in lifting the colour of your teeth give us a call and we'll sort the rest.