Instant veneers are an incredible new way of transforming your smile, using the latest materials and techniques G&S Dental is at the forefront of Composite veneer technology. Dr Jamie Nelson completes multiple composite veneer cases each week and has done for many years, Dr Jamie is also a lecturer to other dentists that wish to provide Composite veneers to their own patients.
The main advantage of Instant veneers over traditional porcelain veneers, is that you don't need to drill or damage the teeth. This also means you don't need to have any injections as no teeth are being harmed. The veneers are skilfully placed individually onto each tooth directly in the chair, this means that you get your new teeth in just one appointment and don't require any impressions or temporaries.
Once the Instant veneers are placed both you and your dentist will work together on creating your bespoke look, as the material used for Instant Veneers is so versatile it can be adjusted at any point, meaning you can have exactly what you're looking for. This also means that if anything were to happen to your veneers after placement they can be repaired, as opposed to conventional porcelain which you would need to have the whole veneer replaced, even for a small chip.
As Instant veneers are placed directly onto the teeth in the mouth there are no laboratory fees, and these savings in full are passed onto our patients, making Instant veneers excellent value.

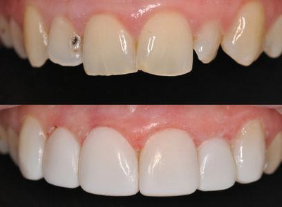
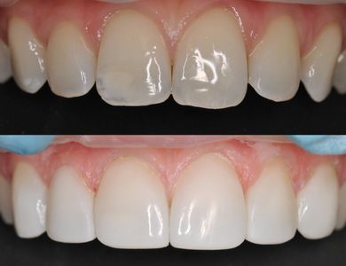
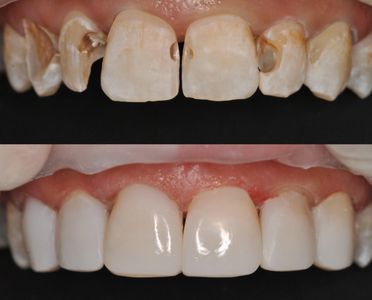
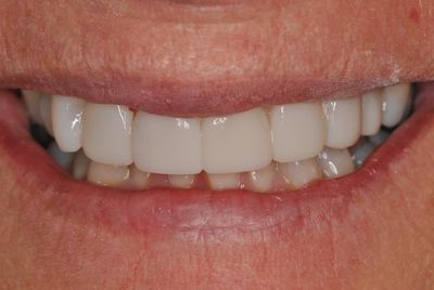
6 Instant Veneers - Completed by Dr Jamie Nelson

6 Instant Veneers - Completed by Dr Jamie Nelson

6 Instant Veneers - Completed by Dr Jamie Nelson

8 Instant Veneers - Completed by Dr Jamie Nelson

6 Instant Veneers - Completed by Dr Jamie Nelson

6 Instant Veneers - Completed by Dr Jamie Nelson

Your teeth stay totally unharmed under the veneers, the veneers just provide extra protection and are an ideal treatment option for people suffering with sensitivity

Our Dentists will place your veneers in the "golden proportions", but ultimately you can decide how they will look

Because of the nature of the treatment, and that nothing needs to be drilled the veneers can be placed on almost anything
Smile improvement with restorative dentistry
Direct composite veneer
Price per tooth
Indirect lab made veneer
Price per tooth
Indirect lab made full coverage crown
Price per tooth
Home whitening with bespoke trays
A fixed or removable brace on either the top or the bottom teeth
to get personalised estimates with treatment costs please contact the practice